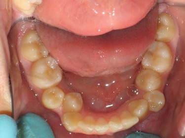
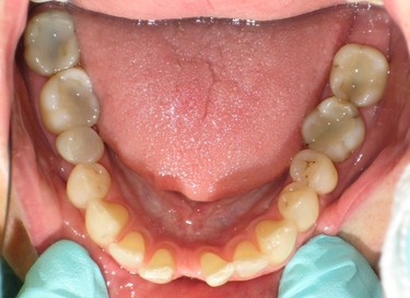
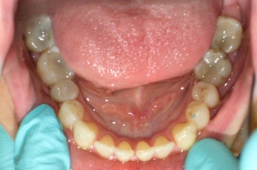
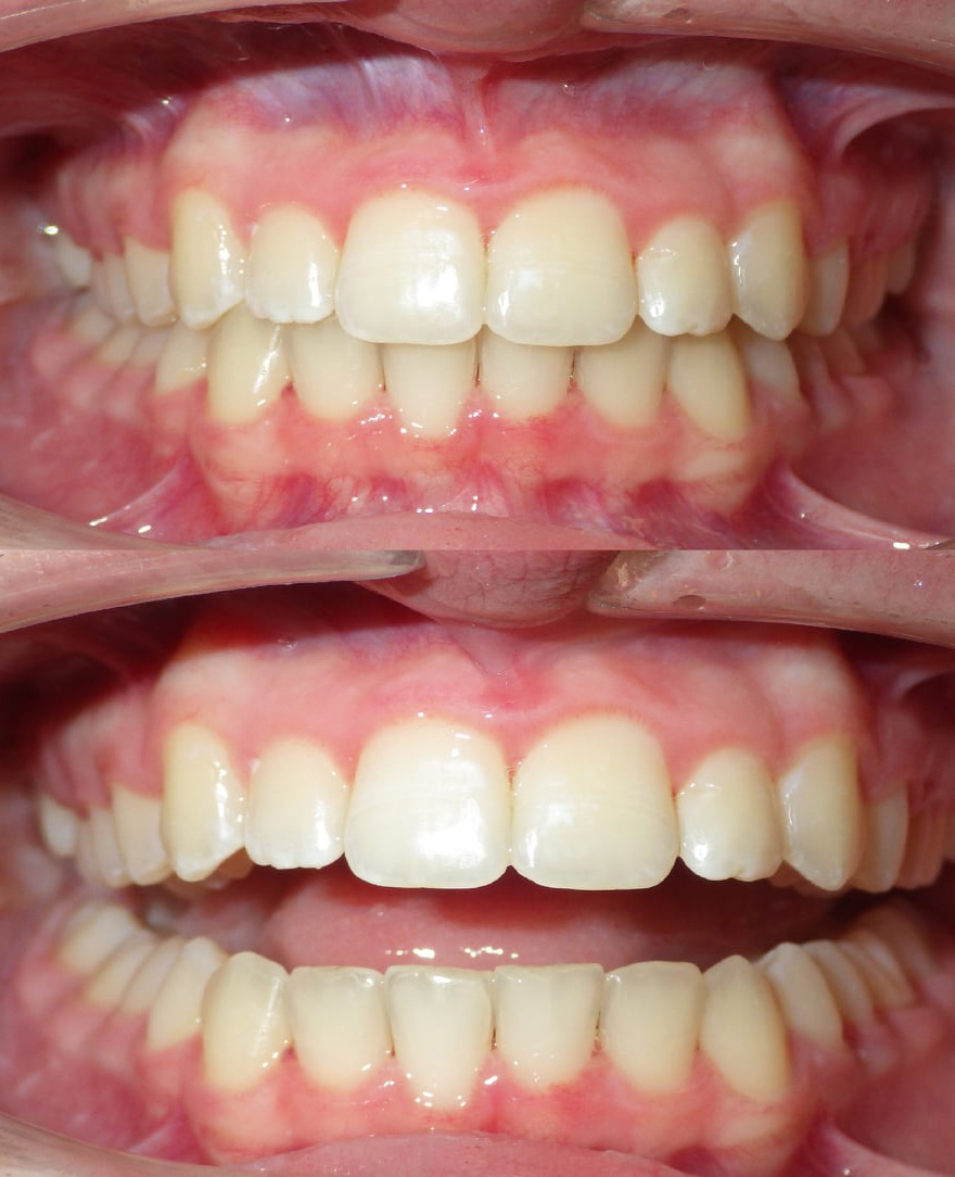
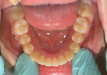
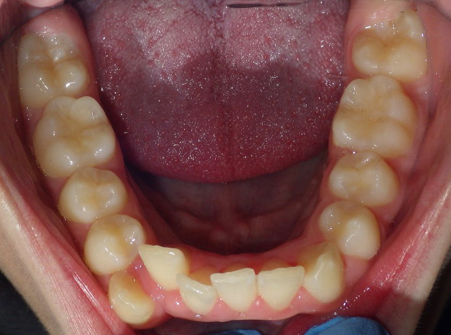
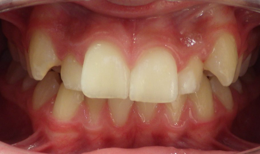
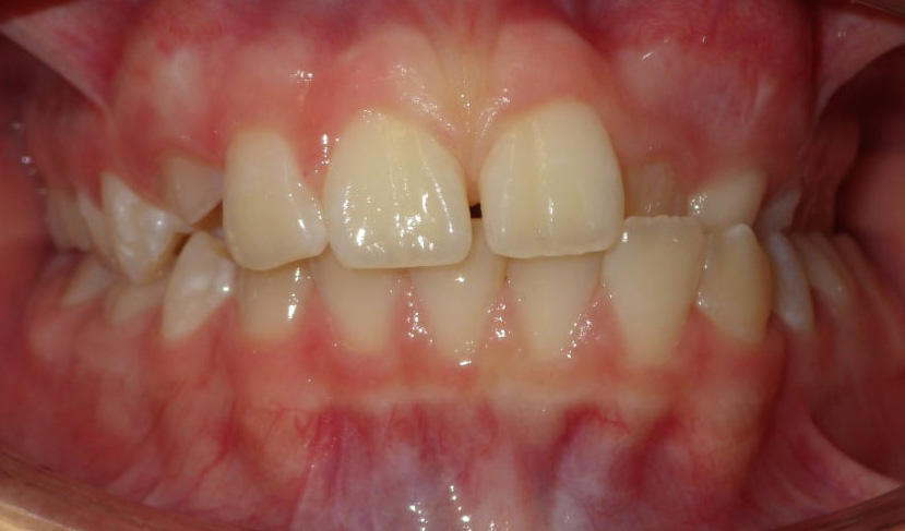
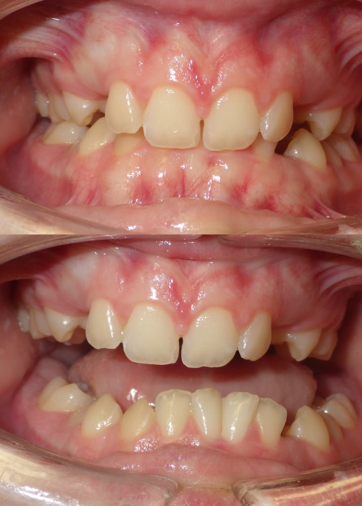
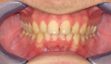
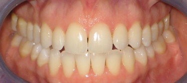
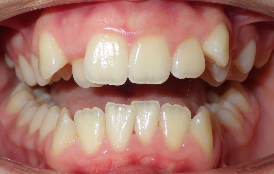
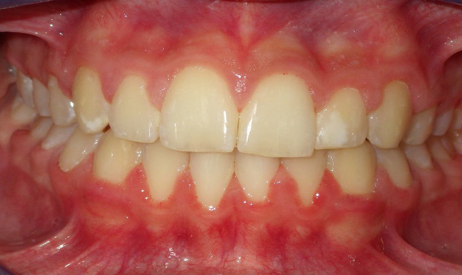
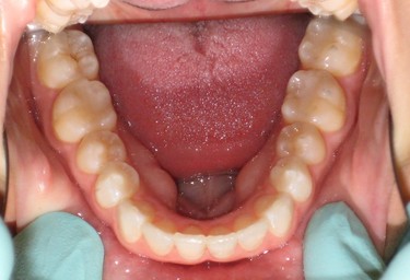
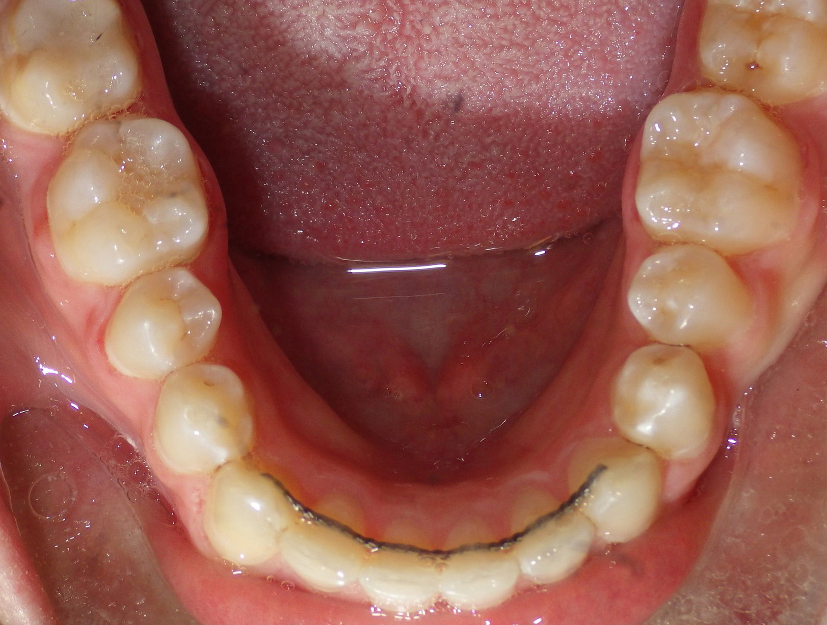
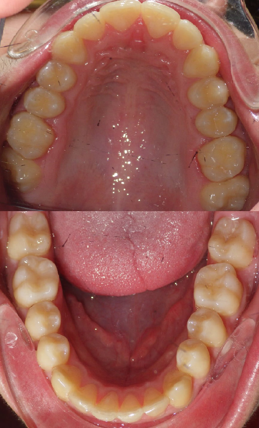
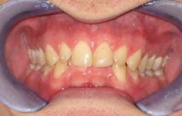
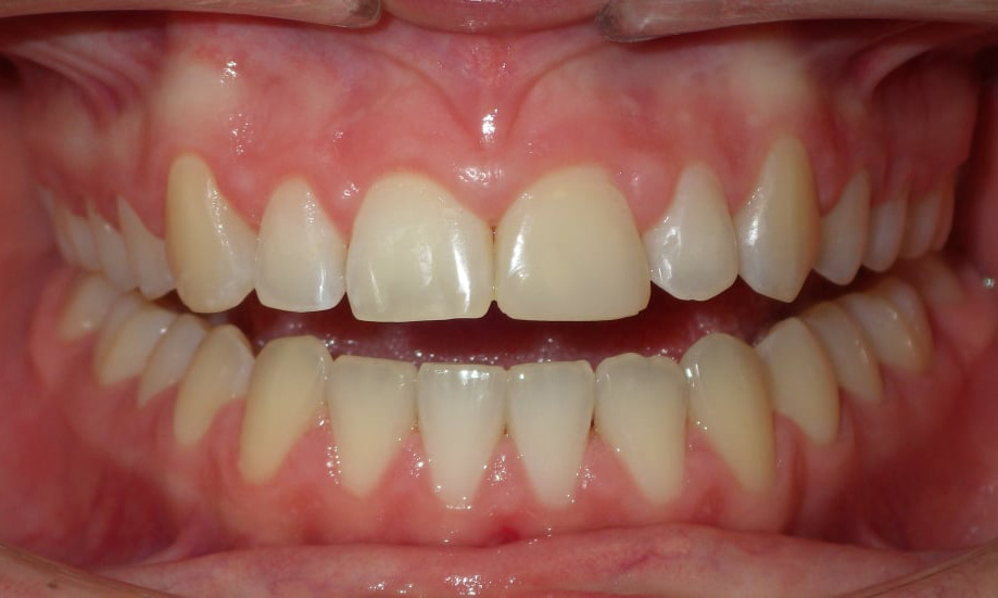
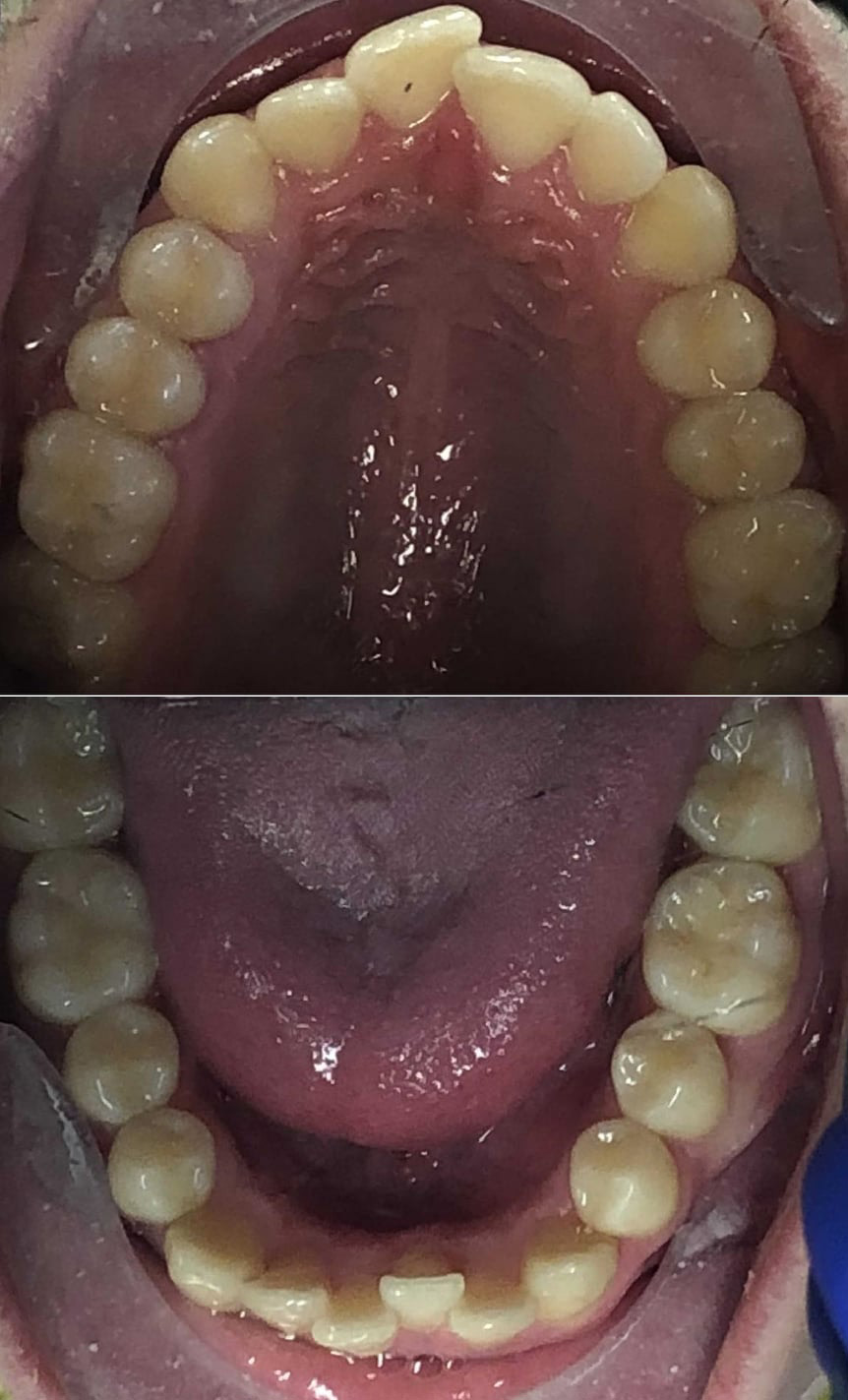
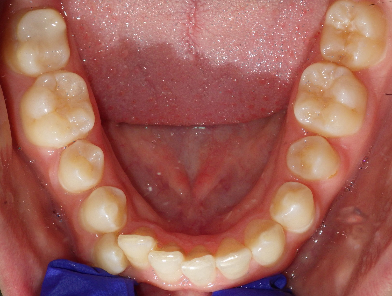
Invisalign

Before

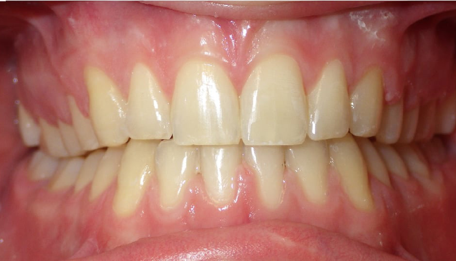
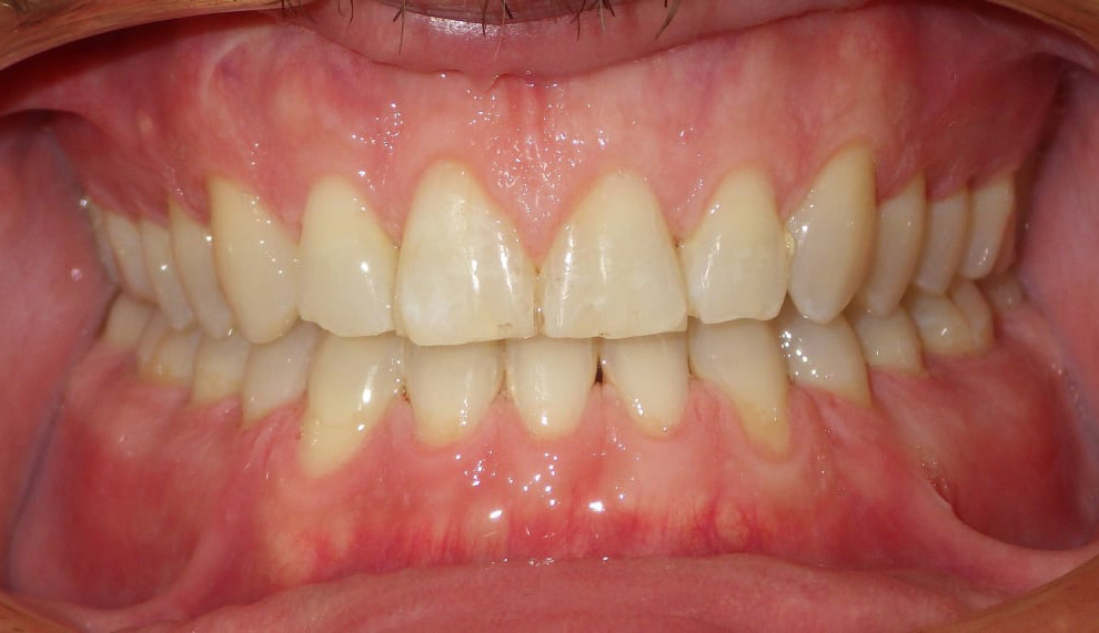
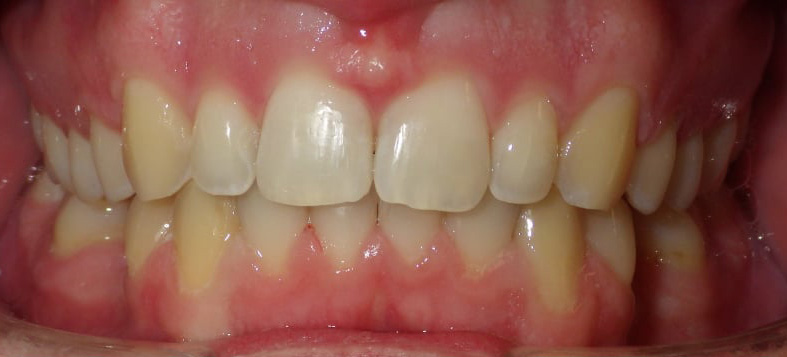
After

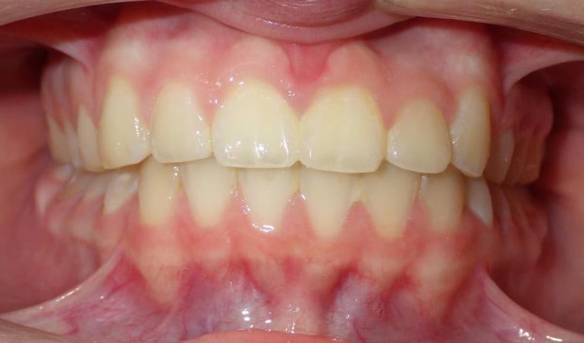
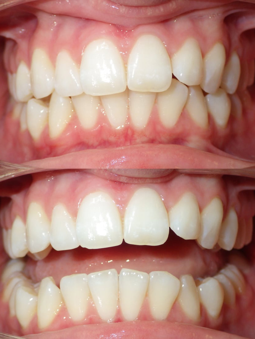
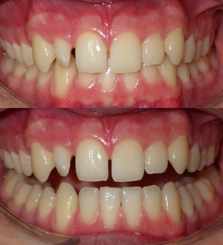
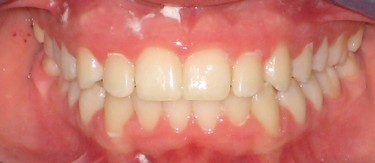
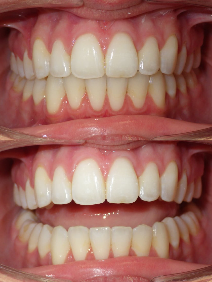
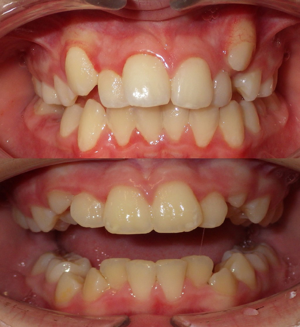
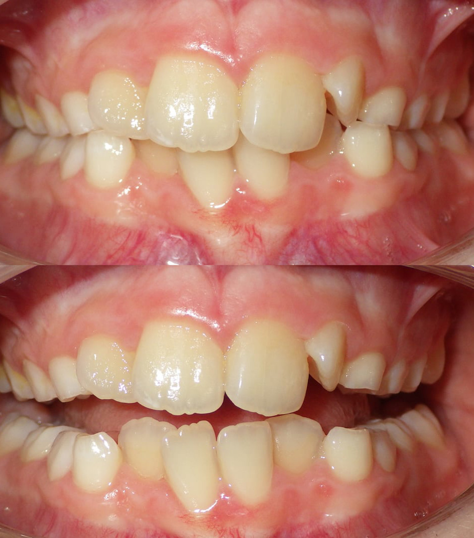
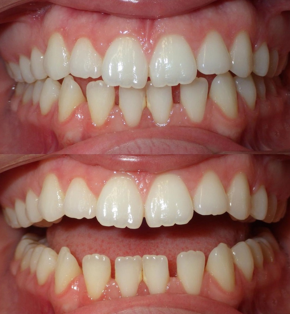
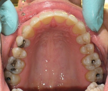
Invisalign

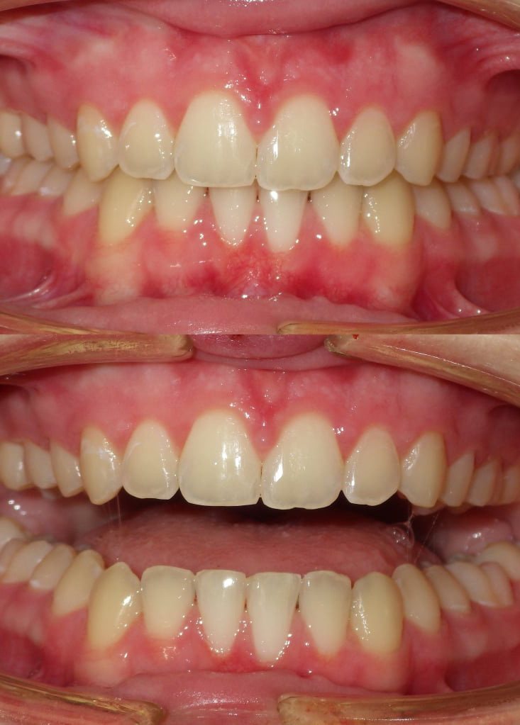
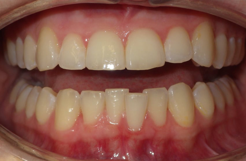
Before

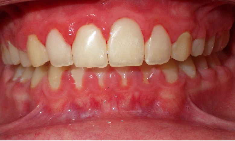
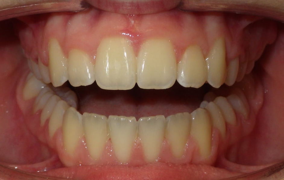
After

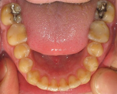
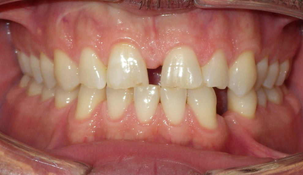
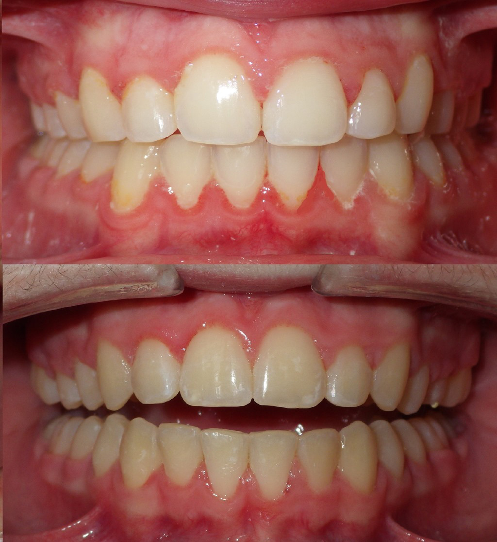
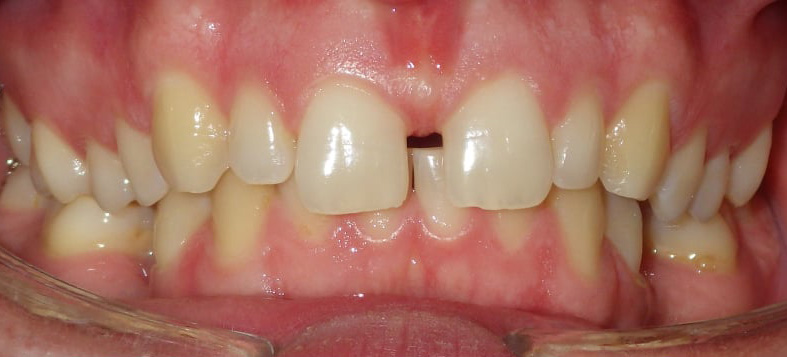
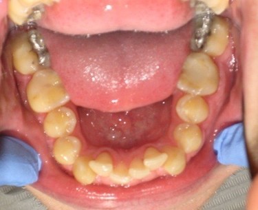
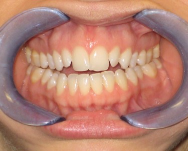
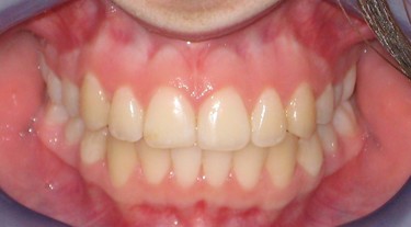
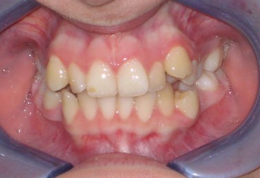
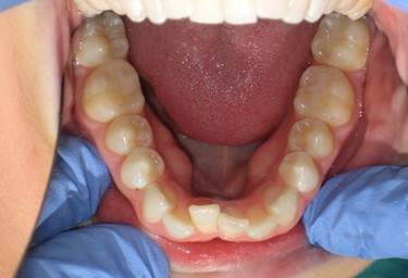
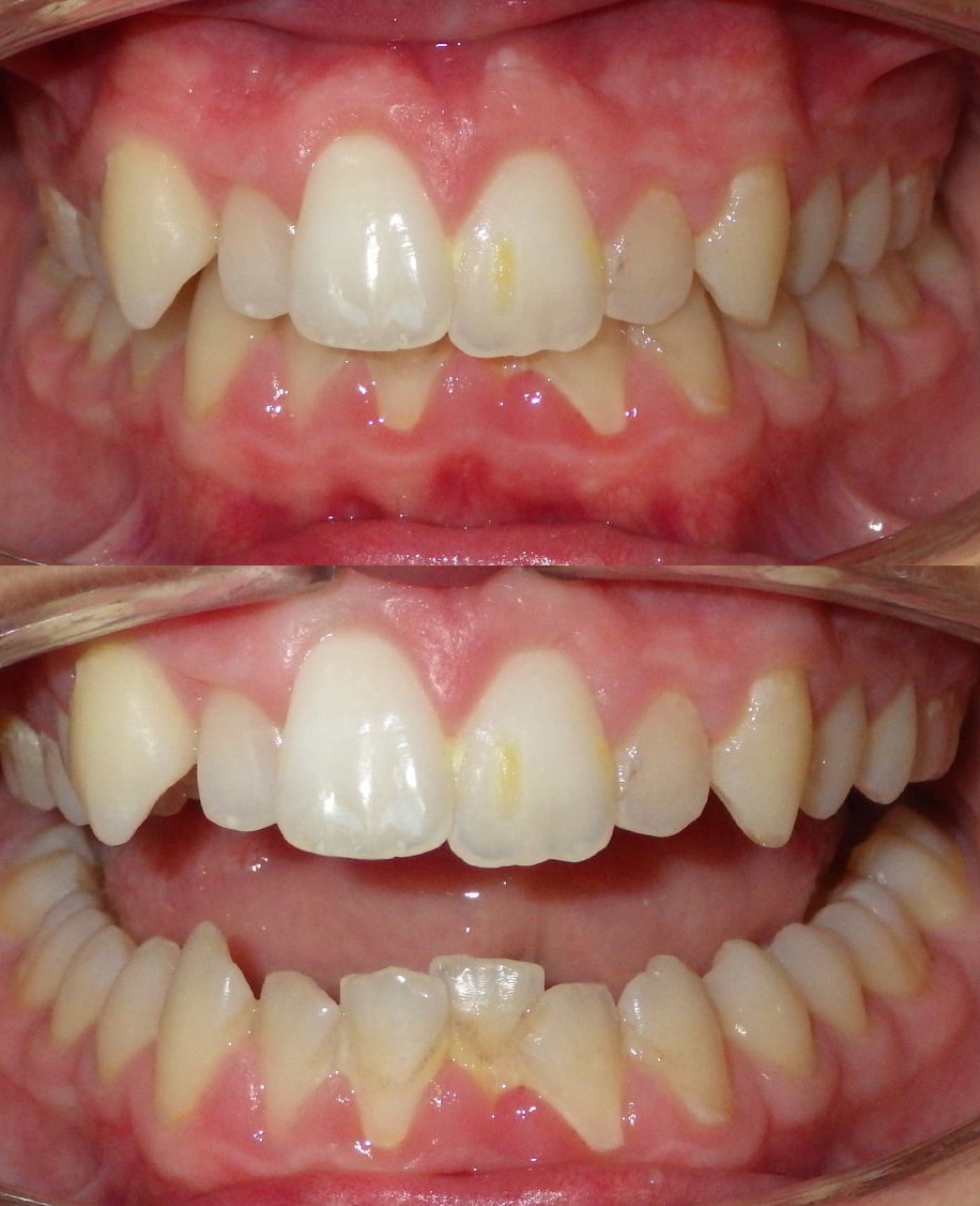
Invisalign

Before

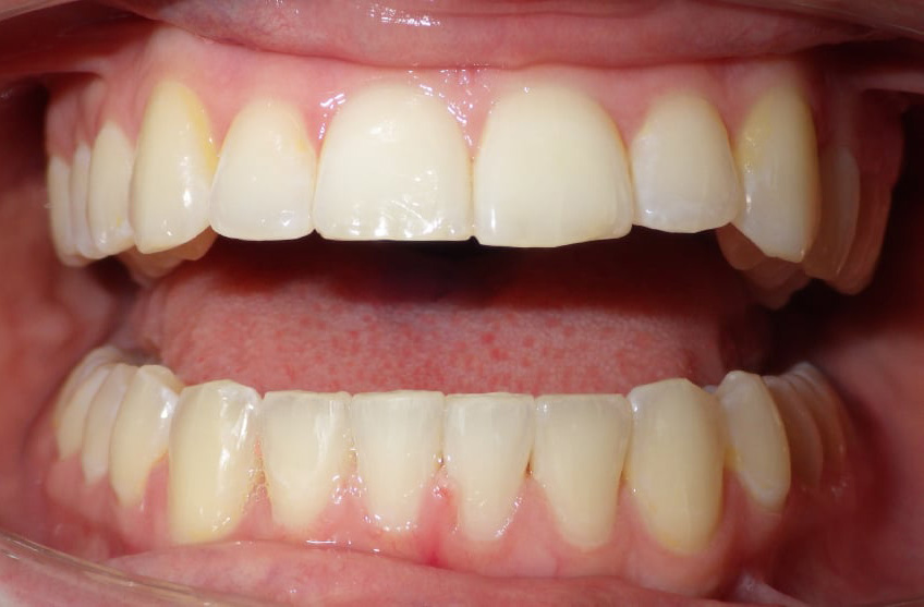
After

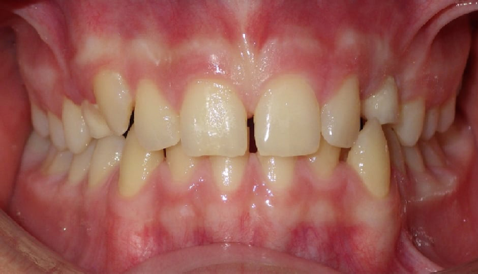
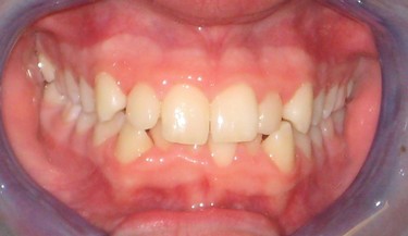
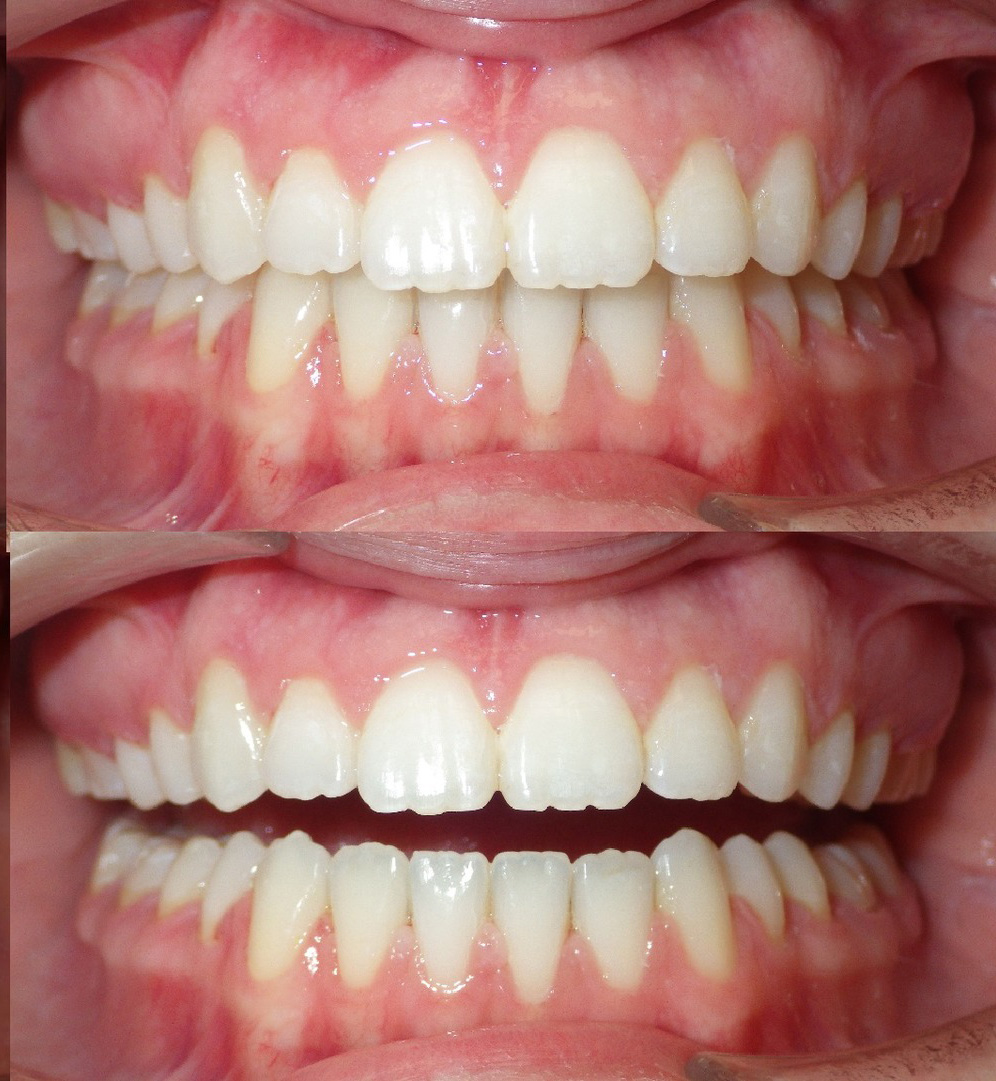
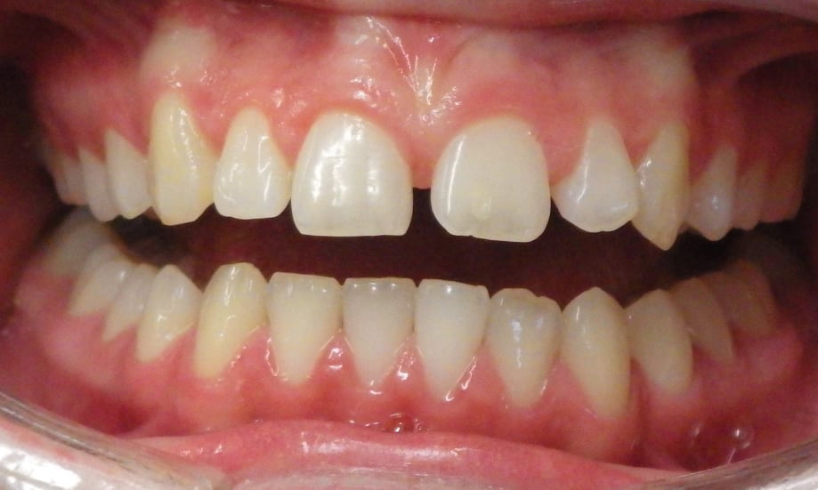
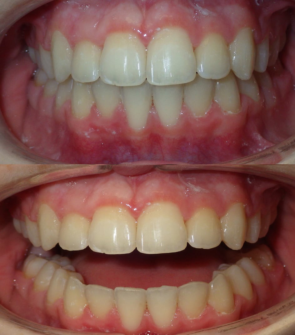
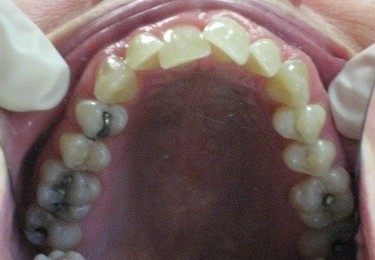
Invisalign

Before

After

Invisalign

Before

After

Invisalign

Before

After

Invisalign

Before

After

Invisalign

Before

After

Invisalign

Before

After

Invisalign

Before

After

Invisalign

Before

After

Invisalign

Before

After

Invisalign

Before

After

Invisalign

Before

After

Invisalign

Before

After

Invisalign

Before

After

Invisalign

Before

After

Invisalign

Before

After

Invisalign

Before

After

Invisalign

Before

After

Invisalign

Before

After

Invisalign

Before

After

Invisalign

Before

After

Invisalign

Before

After

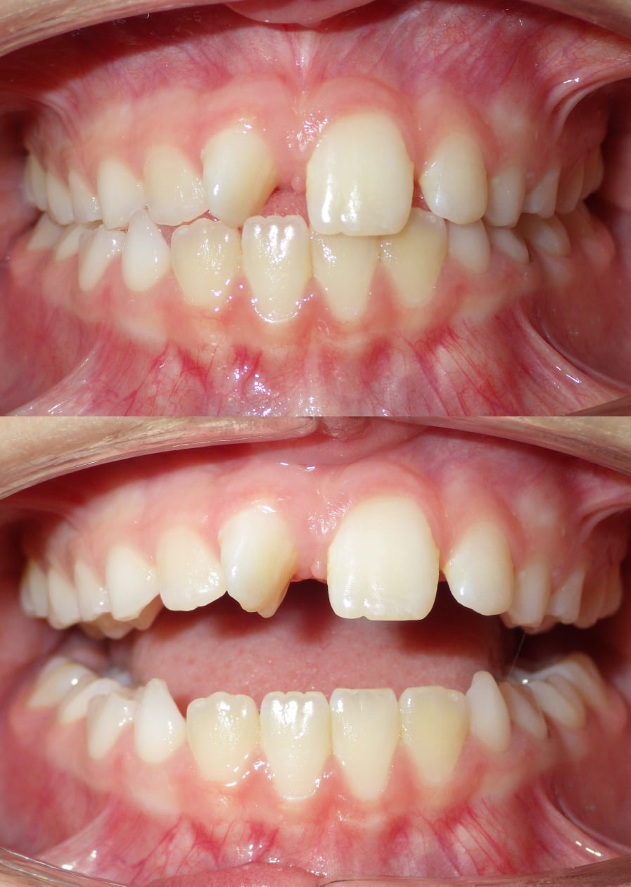
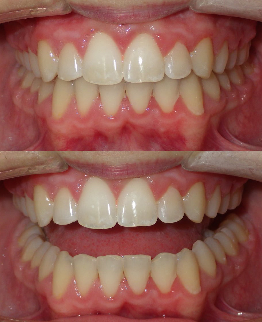
22 Month Treatment Plan Closed Anterior Open Bite

Note: Patients depicted in photos have provided their consent to display their pictures online. Results may vary.

Invisalign

Before

After

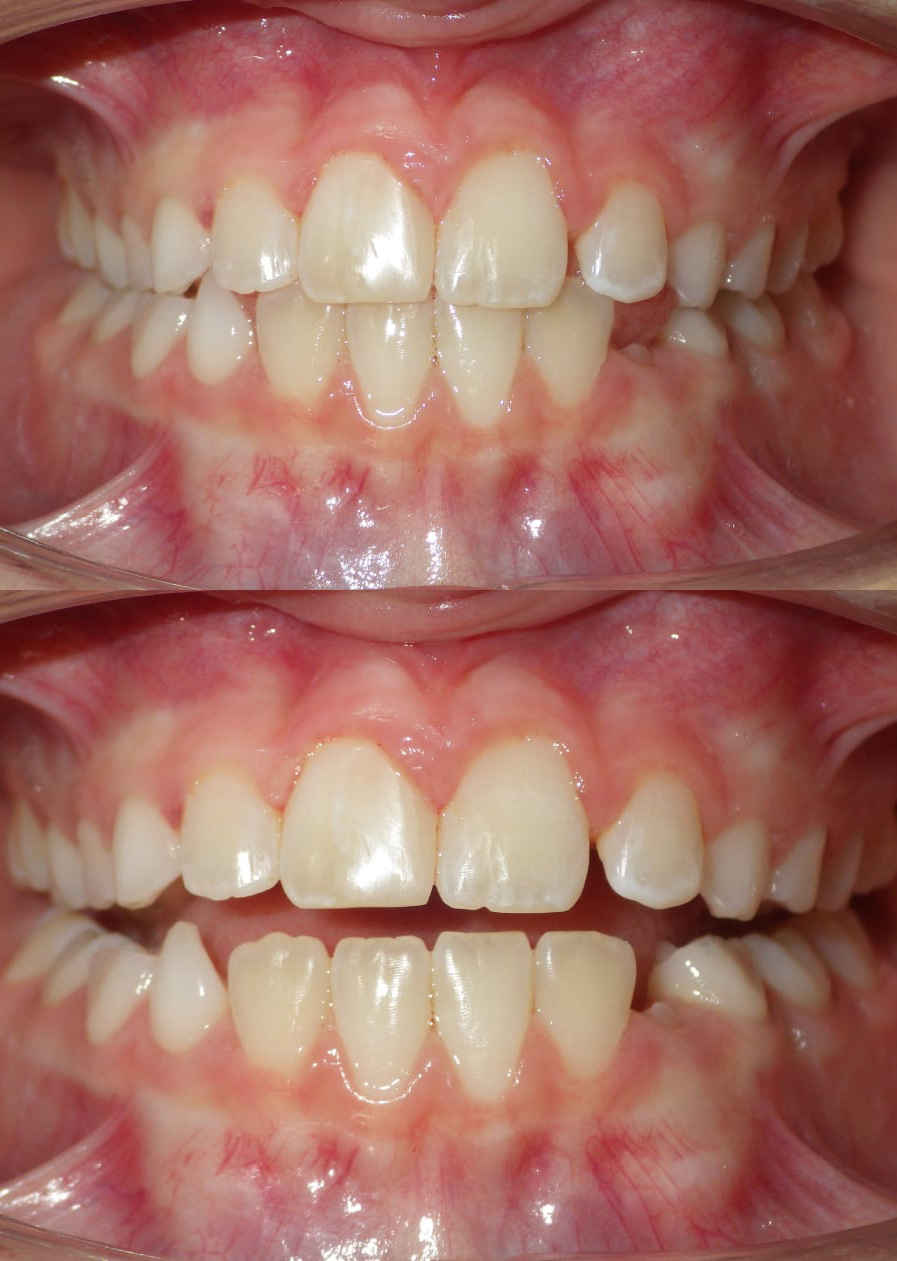
14 Month Treatment Plan to Correct Severe Crowding

Note: Patients depicted in photos have provided their consent to display their pictures online. Results may vary.

Invisalign

Before

After

11 Month Treatment Plan to Correct Crowding

Note: Patients depicted in photos have provided their consent to display their pictures online. Results may vary.

Invisalign

Before

After

9 Month Treatment Plan to Correct Crowding

Note: Patients depicted in photos have provided their consent to display their pictures online. Results may vary.

Invisalign

Before

After

15 Month Treatment to Correct Crowding

Note: Patients depicted in photos have provided their consent to display their pictures online. Results may vary.

Invisalign

Before

After

15 Month Treatment to Correct Crowding

Note: Patients depicted in photos have provided their consent to display their pictures online. Results may vary.

Invisalign

Before

After

17 Month Treatment to Correct Severe Crowding of Lower Teeth.

Note: Patients depicted in photos have provided their consent to display their pictures online. Results may vary.

Invisalign

Before

After

17 Month Treatment to Correct Severe Crowding of Lower Teeth.

Note: Patients depicted in photos have provided their consent to display their pictures online. Results may vary.

Invisalign

Before

After

10 Month Treatment Plan to Correct Spacing

Note: Patients depicted in photos have provided their consent to display their pictures online. Results may vary.

Invisalign

Before

After

16 month treatment to correct severe crowding

Note: Patients depicted in photos have provided their consent to display their pictures online. Results may vary.

Invisalign

Before

After

Note: Patients depicted in photos have provided their consent to display their pictures online. Results may vary.

Invisalign

Before

After

Note: Patients depicted in photos have provided their consent to display their pictures online. Results may vary.

Invisalign

Before

After

14 month treatment to correct crowding

Note: Patients depicted in photos have provided their consent to display their pictures online. Results may vary.

Invisalign

Before

After

Note: Patients depicted in photos have provided their consent to display their pictures online. Results may vary.